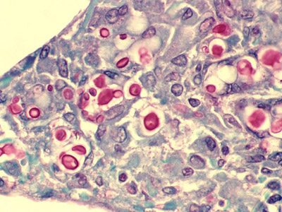
Brasil sedia seminário internacional sobre criptococose
Brasil sedia seminário internacional sobre criptococose Antonio Fuchs e Juana Portugal De 26 a 30 de março de 2017 ocorrerá, em Foz do Iguaçu, no Paraná, a 10ª Conferência Internacional sobre Cryptococcus e Criptococose (ICCC-10). O evento, apoiado pelo INI, tem como presidente a chefe do Laboratório de Micologia, Márcia dos Santos Lazéra, e deve reunir cerca…

